- 14.Breast
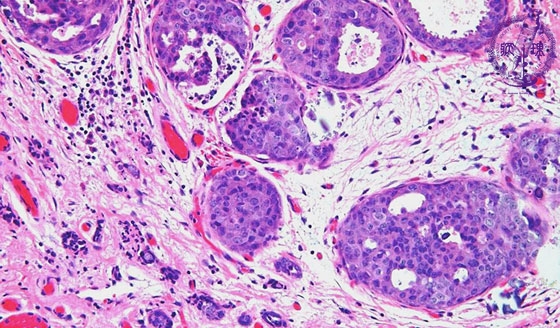
- ★(6)Invasive ductal carcinoma(Papillotubular carcinoma)
Microscopic image(HE stain, high power view):Cribriform patterns are formed when carcinoma spreads intraductally (dotted line). Cancers also tend to form tubular structures (arrow) at invasive areas.
Click the image to see the enlarged image.

















