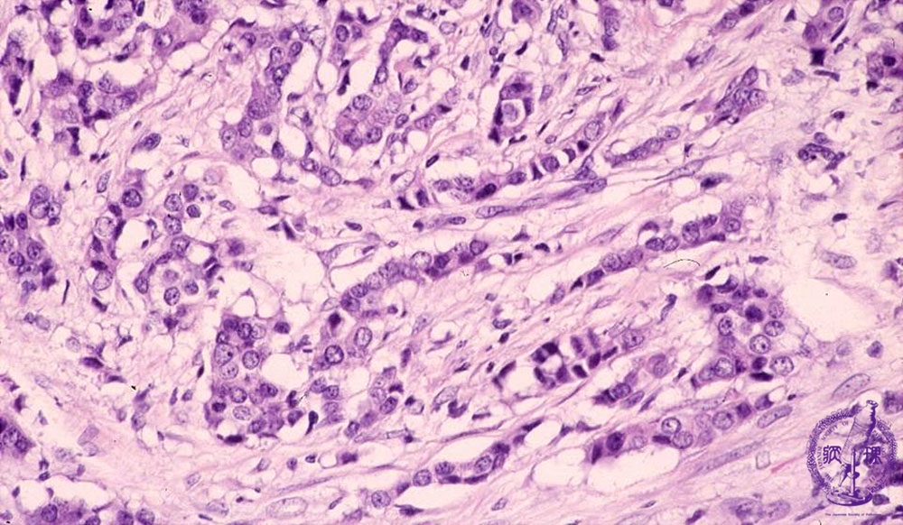
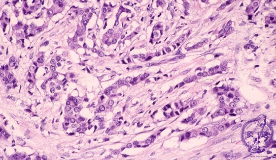
- 14.Breast
- š(6)Invasive ductal carcinoma(Scirrhous carcinoma)
Microscopic image(HE stain, high power view):Marked tumor infiltration has evoked reactive stromal fibrosis. This cancer termed gscirrhoush cancer and is classified as a poorly differentiated ductal carcinoma. Infilatration of small nests and cords of carcinoma cells is also observed.
Click the image to see the enlarged image.














