- 5.Lung, Pleura
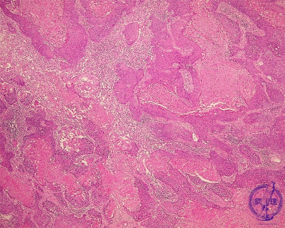
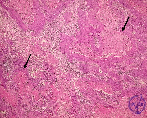
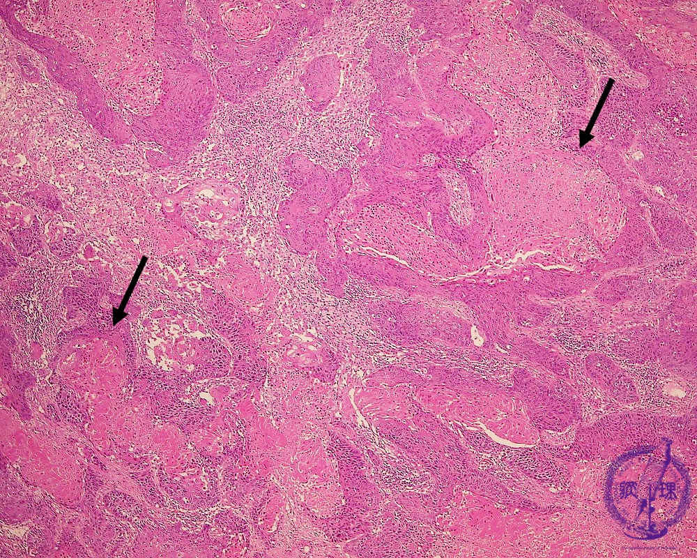
- ★(17)Non-small cell lung carcinoma(squamous cell carcinoma)
Microscopic view (HE stain, low power view): Squamous cell carcinoma proliferates in an irregular geographic (map-like) pattern. Keratinocyte necrosis is prominent (arrow). Unlike in adenocarcinoma well-formed tubules are not seen.
Click the image to see the enlarged image.
























