- 5.Lung, Pleura
- ★(17)Non-small cell lung carcinoma(squamous cell carcinoma)
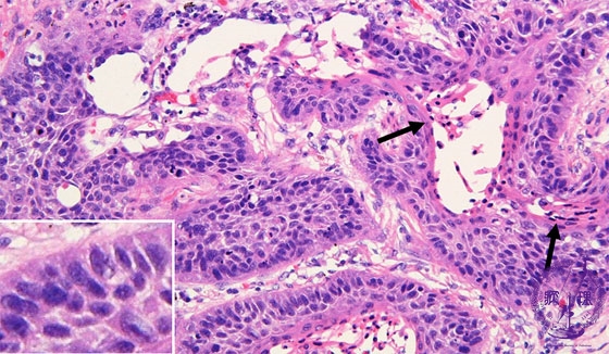
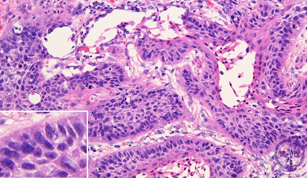
Microscopic view (HE stain, high power view): Squamous cell carcinoma of lung. Tumor cells proliferate in sheets while maintaining intercellular bridges (left lower inset). The cytoplasm is eosinophilic and elongated, features indicative of keratinization (arrow).
Click the image to see the enlarged image.
























