- 5.Lung, Pleura
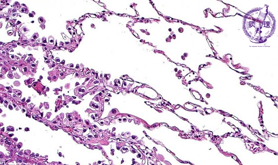
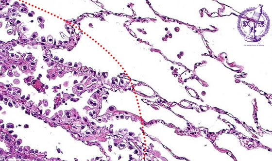
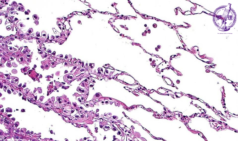
- ★(17)Non-small cell lung carcinoma(adenocarcinoma)
Microscopic view (HE stain, high power view): At the periphery of adenocarcinoma, carcinoma cells replace the lining alveolar cells without destruction of the underlying structure. The border between carcinoma cells and non-neoplastic alveolar cells (dotted line) is clear.
Click the image to see the enlarged image.
























