• 5.Lung, Pleura
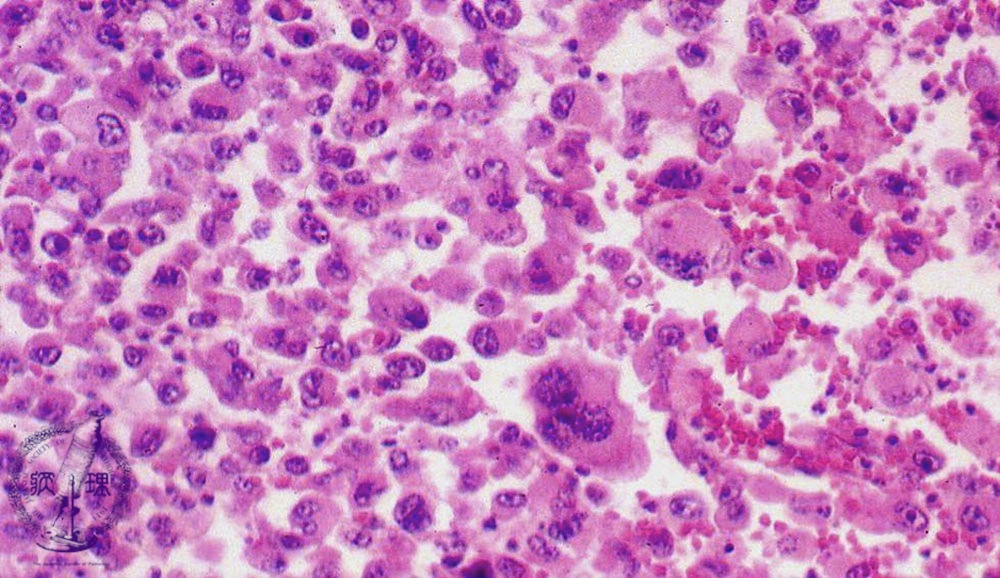
  • š(17)Non-small cell lung carcinoma(large cell carcinoma)

Microscopic view (HE stain, middle power view): Large cell carcinoma of lung. Carcinoma cell nuclei are enlarged and pleomorphic. When defining characteristics of adeno or squamous cell carcinoma are not identifiable, large cell carcinoma is diagnosed.

Click the image to see the enlarged image.

  • There is no guidance by arrows.