• 5.Lung, Pleura
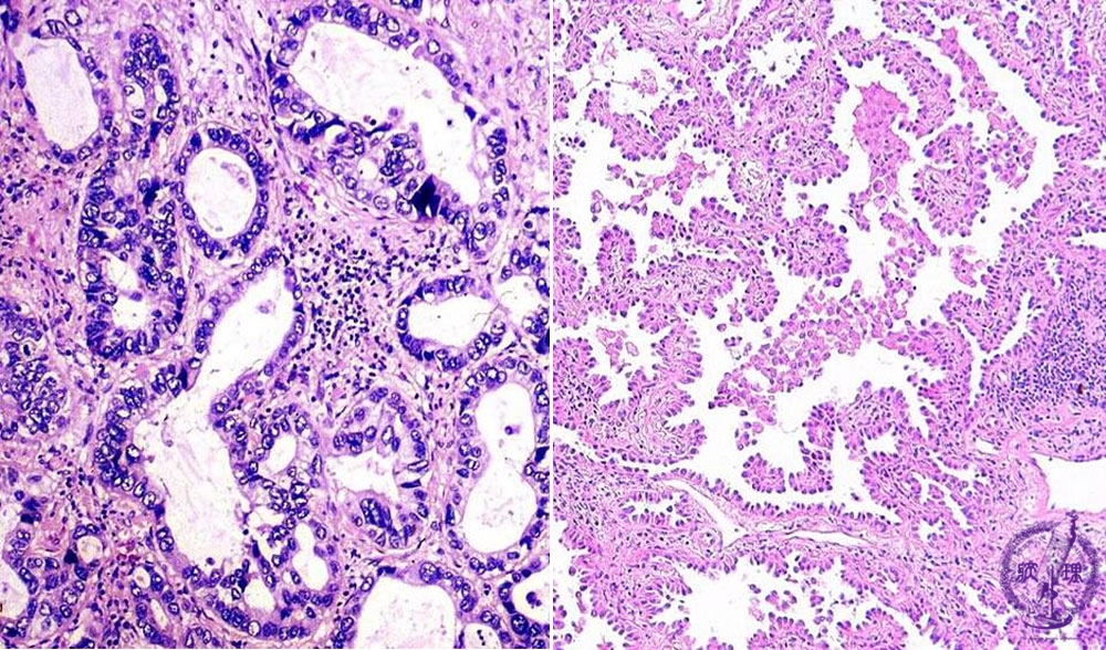
  • š(17)Non-small cell lung carcinoma(adenocarcinoma)

Microscopic view (HE stain, Left: High power view, Right: intermediate power view): Adenocarcinoma of lung. Tubular (left) or papillary (right) structure is sometimes prominent.

Click the image to see the enlarged image.

  • There is no guidance by arrows.