- 5.Lung, Pleura
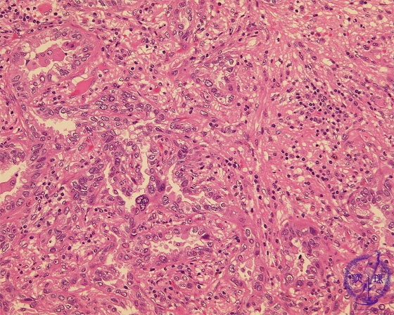
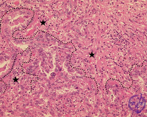
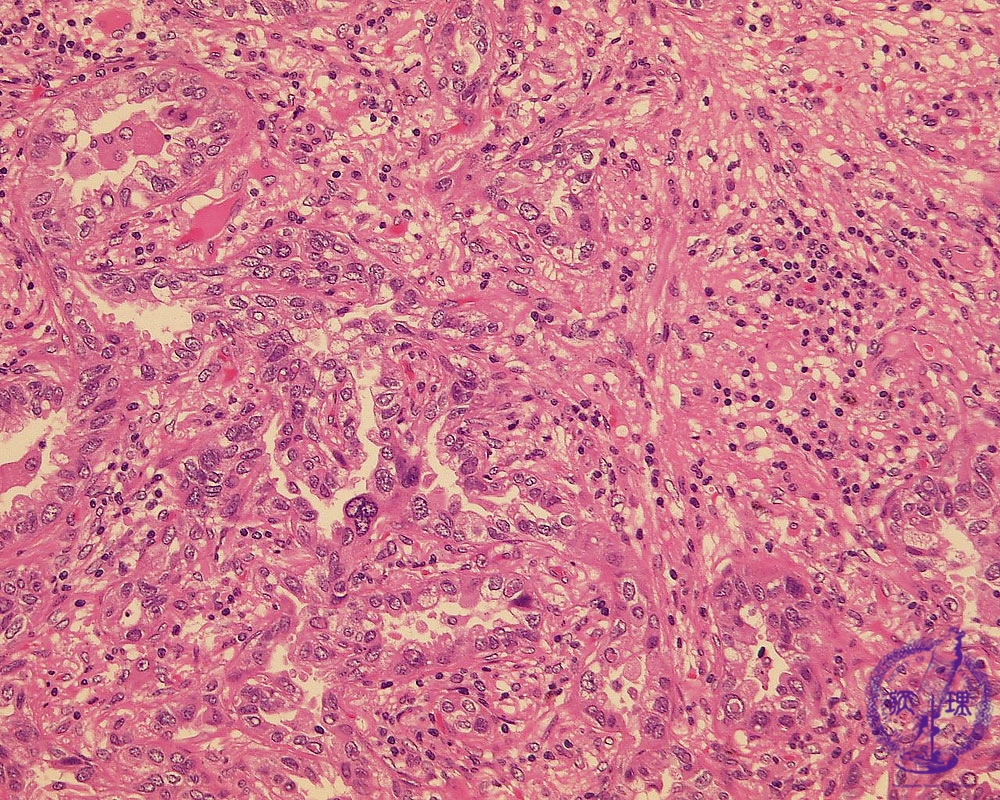
- ★(17)Non-small cell lung carcinoma(adenocarcinoma)
Microscopic view (HE stain, high power view): Adenocarcinoma of lung. Centrally within the carcinoma, tumor cells form irregular tubules and proliferate by invasion. There is a predominantly lymphocytic infiltrate within the complex, intricate stroma.
Click the image to see the enlarged image.
























