• 5.Lung, Pleura
  • š(17)Non-small cell lung carcinoma(adenocarcinoma)

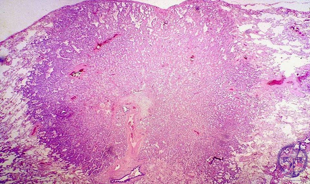
Microscopic view (HE stain, low power view): Adenocarcinoma of lung. In small-sized tumors, the histology is relatively uniform whereas in larger tumors, histology is apt to be diverse.

Click the image to see the enlarged image.

  • There is no guidance by arrows.