- 10.Liver
- ★(1)Acute viral hepatitis
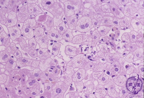
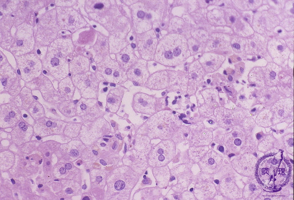
Microscopic finding (HE stain, high power view): There is multifocal patchy lobular necrosis scattered throuought and eosinophilic bodies are also seen. Swollen Kupffer cells, pigment laden histiocytes and infiltrating lymphocytes are observed within sinusoids.
Click the image to see the enlarged image.




















