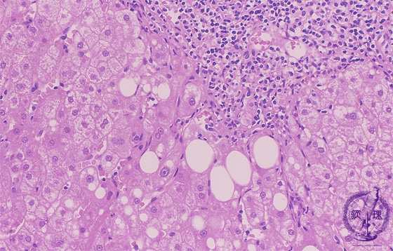
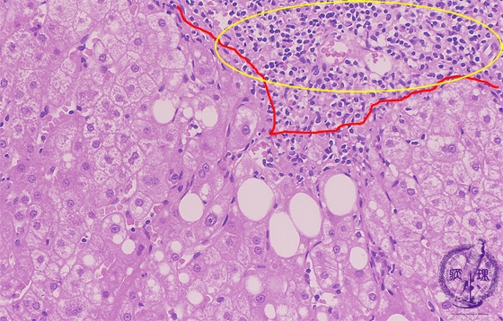
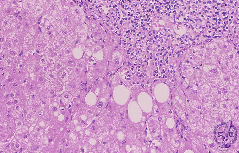
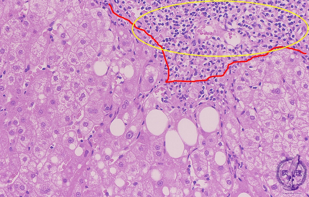
- 10.Liver
- ★(1)Chronic viral hepatitis
Microscopic image (HE stain, high power view): There is dense portal chronic inflammation with interface hepatitis comprising lymphocytic inflammation at the limiting plate and concurrent hepatocellular drop-out (yellow box). Hepatocytes contain large cytoplasmic lipid droplets (steatosis).
Click the image to see the enlarged image.




















