- 10.Liver
- ★(1)Acute viral hepatitis
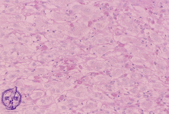
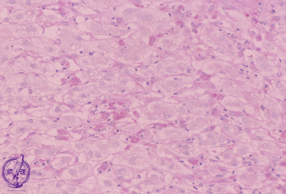
Microscopic image (PAS diastase stain, high power): Within sinusoids, numerous diastase resistant PAS positive histiocytes (Kupffer cells) are seen. These changes are observed in association with acute liver injury.
Click the image to see the enlarged image.




















