- 10.Liver
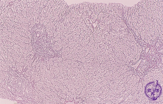
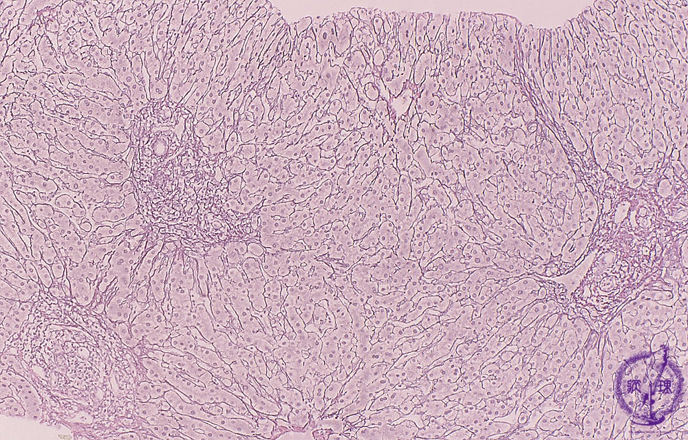
- ★(1)Chronic viral hepatitis
Microscopic image (silver stain, intermediate-power): There is portal fibrous expansion (red box) with varying degrees of bridging fibrosis (blue line).
Click the image to see the enlarged image.
Microscopic image (silver stain, intermediate-power): There is portal fibrous expansion (red box) with varying degrees of bridging fibrosis (blue line).
Click the image to see the enlarged image.