- 10.Liver
- ★(1)Viral hepatitis, cirrhosis
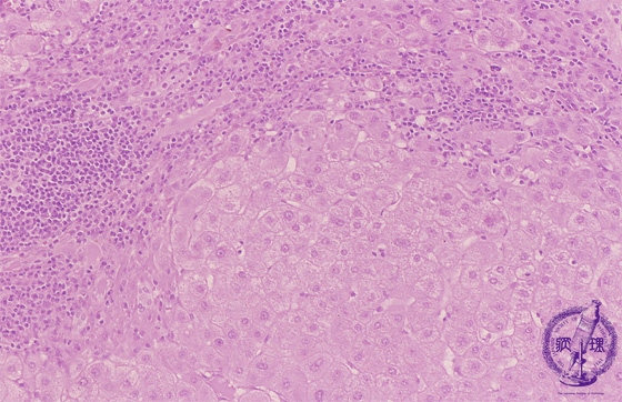
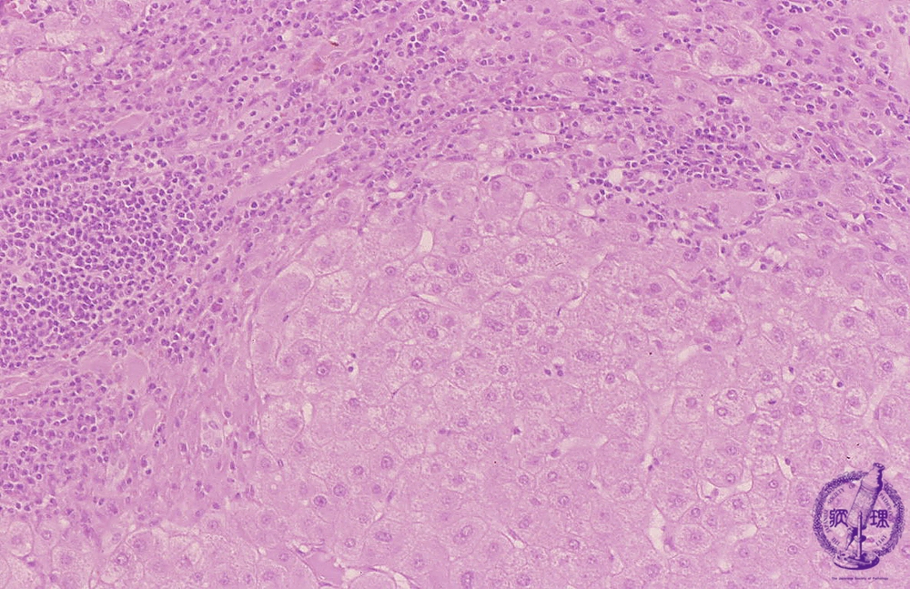
Microscopic image (HE stain, intermediate power): Liver cirrhosis due to chronic hepatitis. Lymphocytes infiltrate fibrous septa (blue arrow) and at the periphery of regenerative nodules there is interface hepatitis with hepatocyte drop-out (red line). Changes attributable to persistent chronic hepatitis C viral infection are simultaneously observed.
Click the image to see the enlarged image.




















