- 10.Liver
- ★(1)Viral hepatitis, cirrhosis
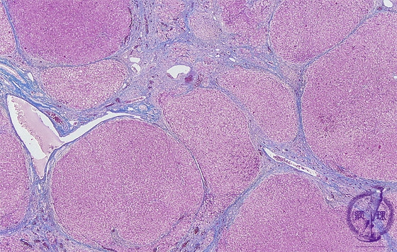
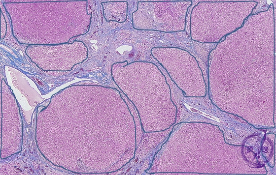
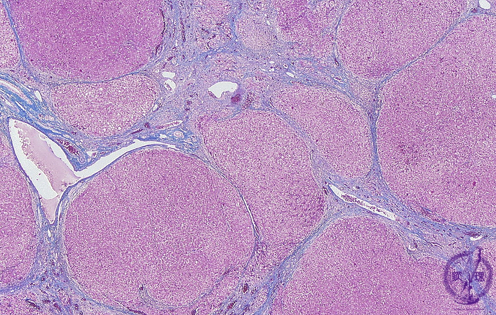
Microscopic image (AZAN trichrome stain, low power): Liver cirrhosis due to chronic hepatitis. There is a loss of lobular architecture with effacement of normal parenchyma by regenerative hepatocellular nodules of various sizes. Narrow fibrous septa surround and separate regenerative nodule.
Click the image to see the enlarged image.




















