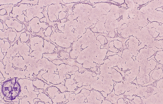
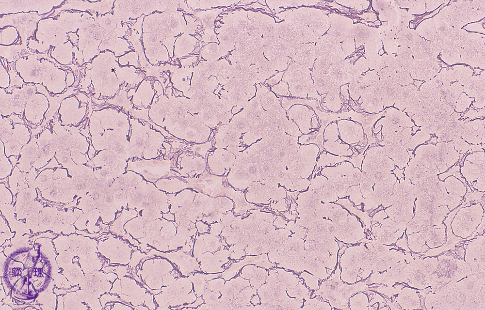
- 10.Liver
- ★(1)Viral hepatitis, cirrhosis
Microscopic image (silver stain, intermediate power): Regenerative nodules show architectural disruption with hepatocellular plates composed of multiple (2-4) layers (normally 1-2 layers).
Click the image to see the enlarged image.




















