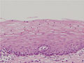
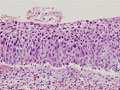
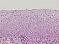
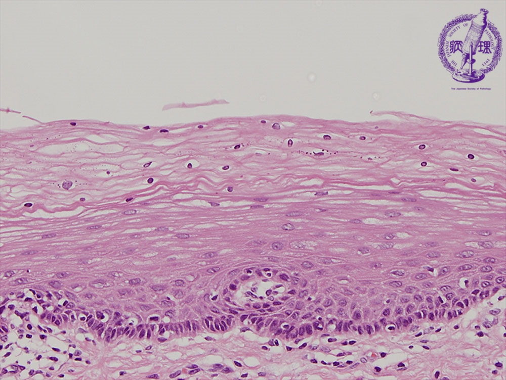
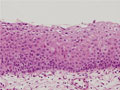
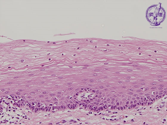
Histology (HE stain, high power): Intact cervical mucosa. The differentiation from basal to surface layer is evident. No atypical cells or koilocytosis apparent.

Click the image to see the enlarged image.

  • There is no guidance by arrows.