- 15.Female genital organs
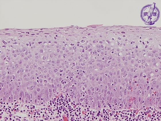
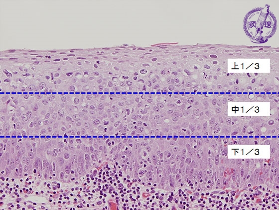
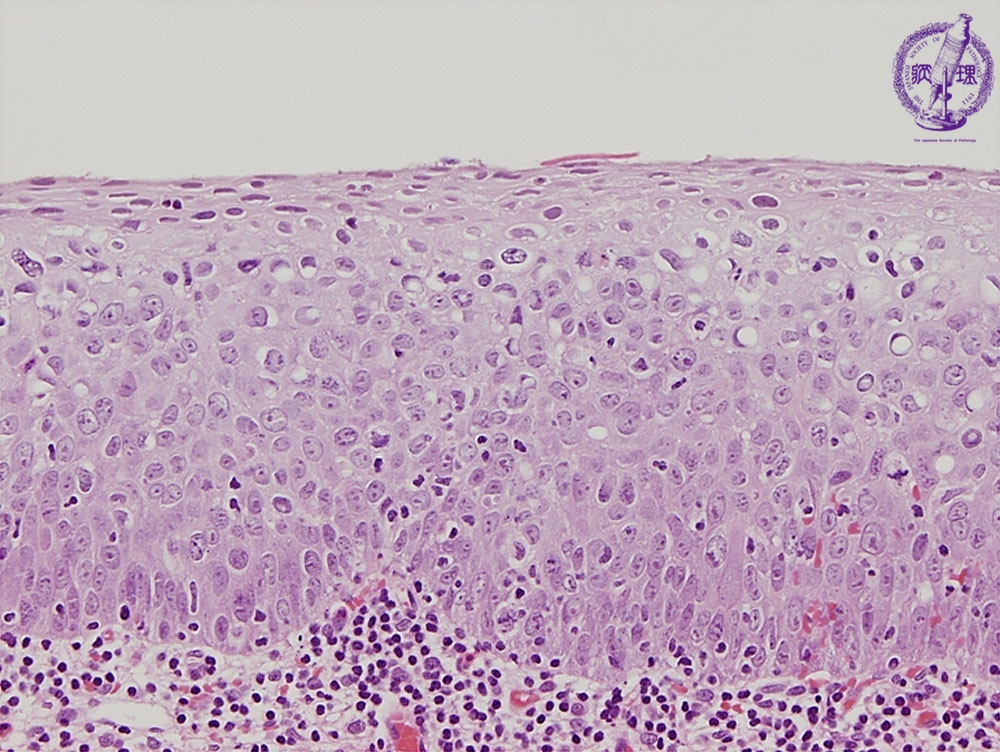
- ★(4)Cervical intraepithelial neoplasia
Histology (HE stain, high power): Severe dysplasia (CIN3). Atypical cells with nuclear enlargement, variable size of nuclei and high nuclear density proliferated from the side of basement membrane to more than 2/3 thickness of the epithelium.
Click the image to see the enlarged image.


















