- 15.Female genital organs
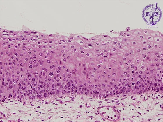
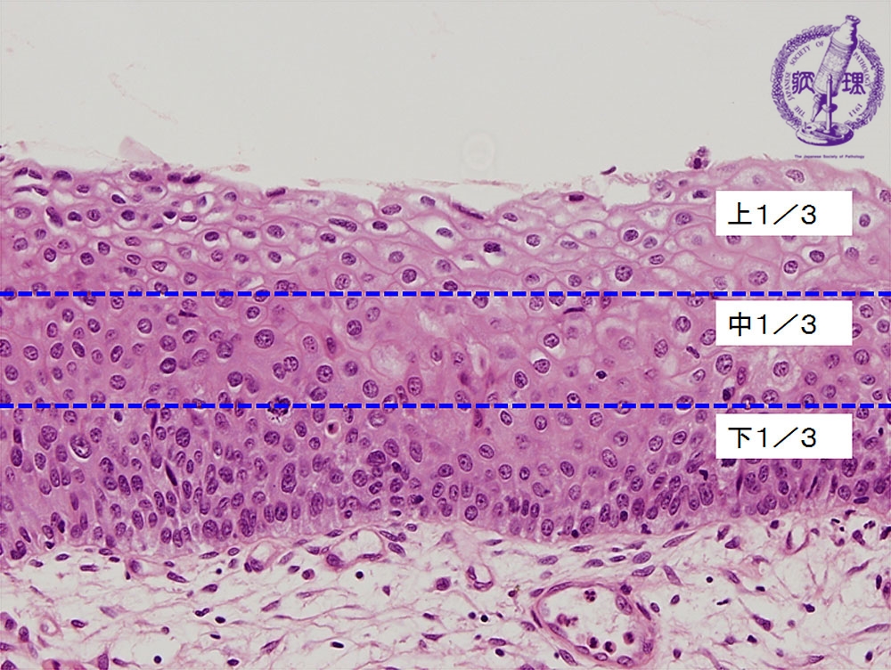
- ★(4)Cervical intraepithelial neoplasia
Histology (HE stain, high power): Moderate dysplasia (CIN2). Atypical cells with nuclear enlargement and high nuclear density proliferated from the side of basement membrane to basal side through a 2/3 thickness of the epithelium.
Click the image to see the enlarged image.


















