- 15.Female genital organs
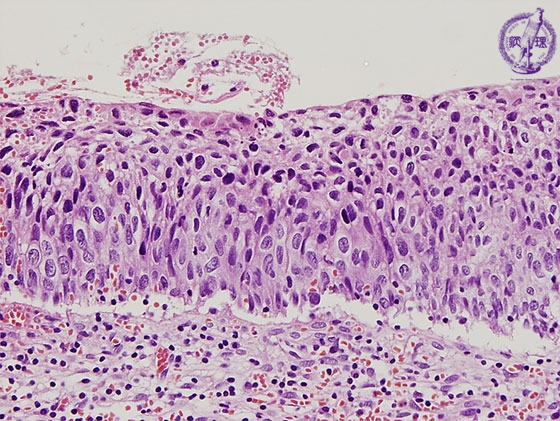
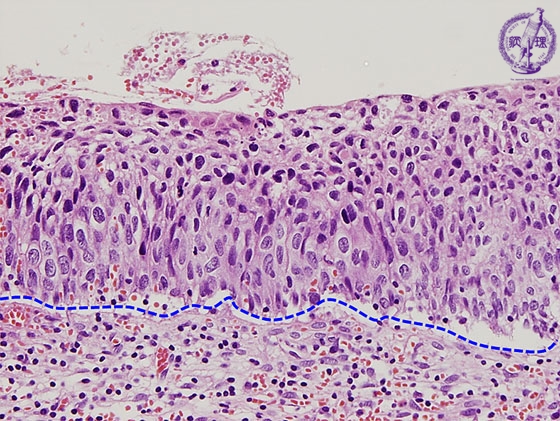
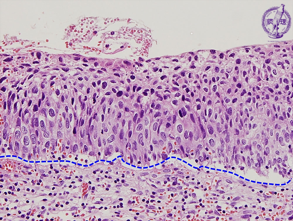
- ★(4)Cervical intraepithelial neoplasia
Histology (HE stain, high power): Carcinoma in situ (CIN or CIN3). Atypical cells with nuclear enlargement and markedly elevated nuclear density proliferated in full thickness of epithelium, but without concomitant invasion through the basement membrane (blue dotted line)
Click the image to see the enlarged image.


















