- 15.Female genital organs
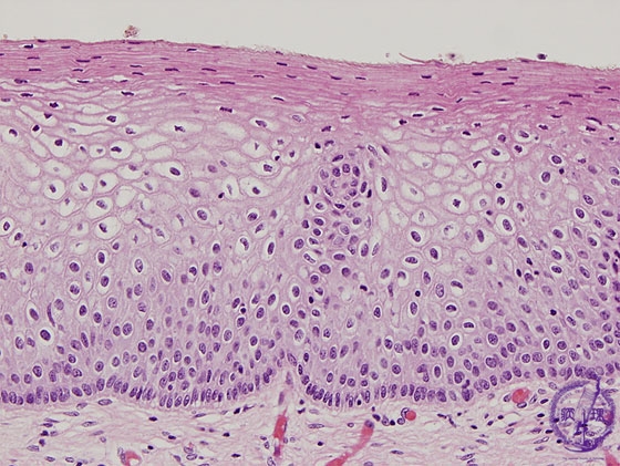
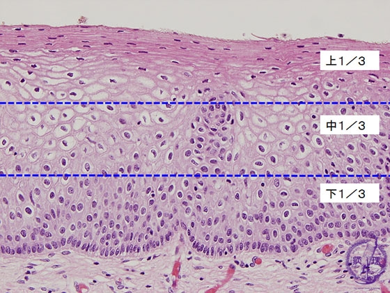
- ★(4)Cervical intraepithelial neoplasia
Histology (HE stain, high power): Mild dysplasia (CIN1). Koilocytosis is identifyied on surface side of the epithelium. Cells with mild atypia are observed from the basement membrane to 1/3 thickness of the epithelium.
Click the image to see the enlarged image.


















