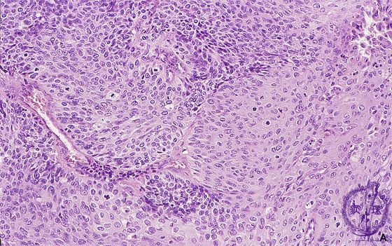
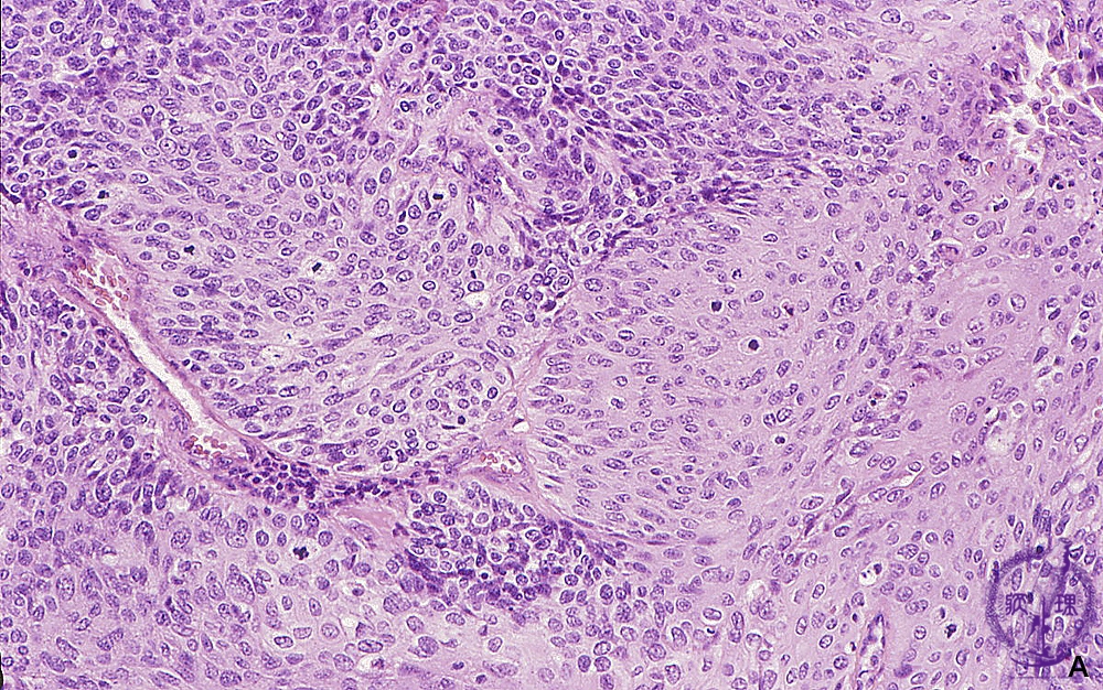
Histology (HE stain, high power): Squamous cell carcinoma of the uterine cervix. Non-keratinizing squamous cell carcinoma without keratin cancer pearls is typical of this malignancy.

Click the image to see the enlarged image.

  • There is no guidance by arrows.