- 15.Female genital organs
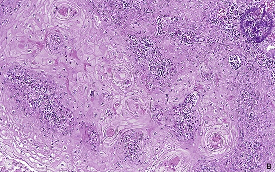
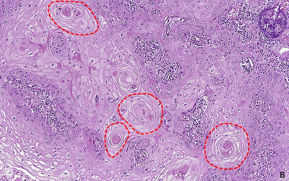
- ★(4)Cervical cancer (squamous cell carcinoma)
Histology (HE stain, high power): Keratinizing squamous cell carcinoma. Cancer pearls (red dotted line) can be occasionally identified.
Click the image to see the enlarged image.
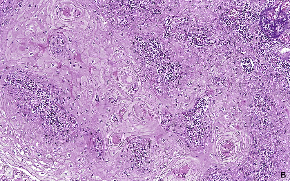
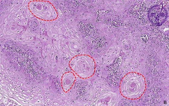
Histology (HE stain, high power): Keratinizing squamous cell carcinoma. Cancer pearls (red dotted line) can be occasionally identified.
Click the image to see the enlarged image.