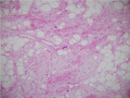
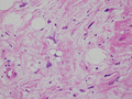
Macroscopic findings: Macroscopic appearance of lipoma was similar to that of mature adipose tissue. Liposarcoma is associated with gray color and myxomatous characteristics.

Click the image to see the enlarged image.

  • There is no guidance by arrows.