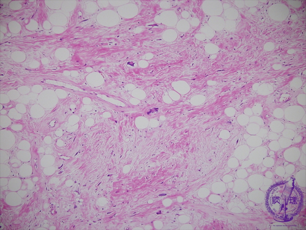
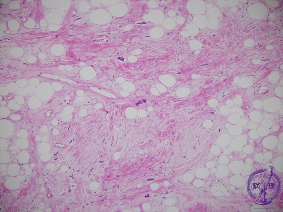
Microscopic findings (H.E. low power view): Hyalinized collagenous connective tissues identified within the fatty tissues.

Click the image to see the enlarged image.

  • There is no guidance by arrows.