- 18.Soft tissue
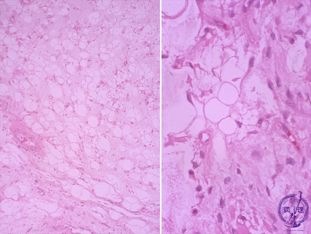
- ★(1)Lipoma, Liposarcoma(myxoid liposarcoma)
Microscopic findings (H.E. intermediate (left) and high power view (right)): Tumor consisted of multivacuolated lipoblast like cells, also termed spider web cells (red circle), in addition tospindle or stellate undifferentiated mesenchymal cells
Click the image to see the enlarged image.


















