- 18.Soft tissue
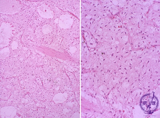
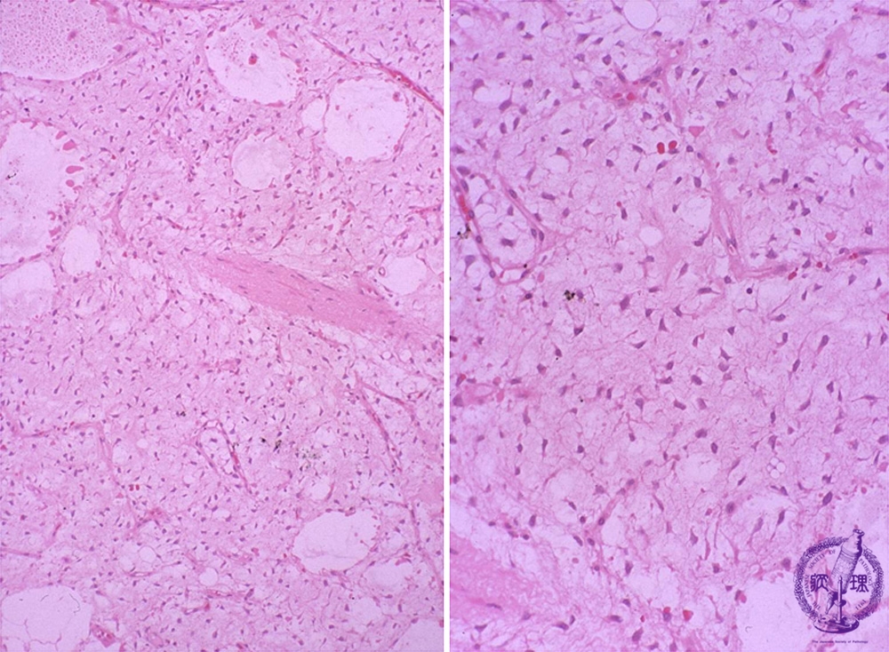
- ★(1)Lipoma, Liposarcoma(myxoid liposarcoma)
Microscopic findings (H.E. intermediate power view (left) and high power view (right)): A proliferation of tumor cells in the myxomatous stroma with complex brunching of capillaries (arrows).
Click the image to see the enlarged image.


















