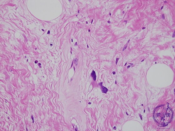
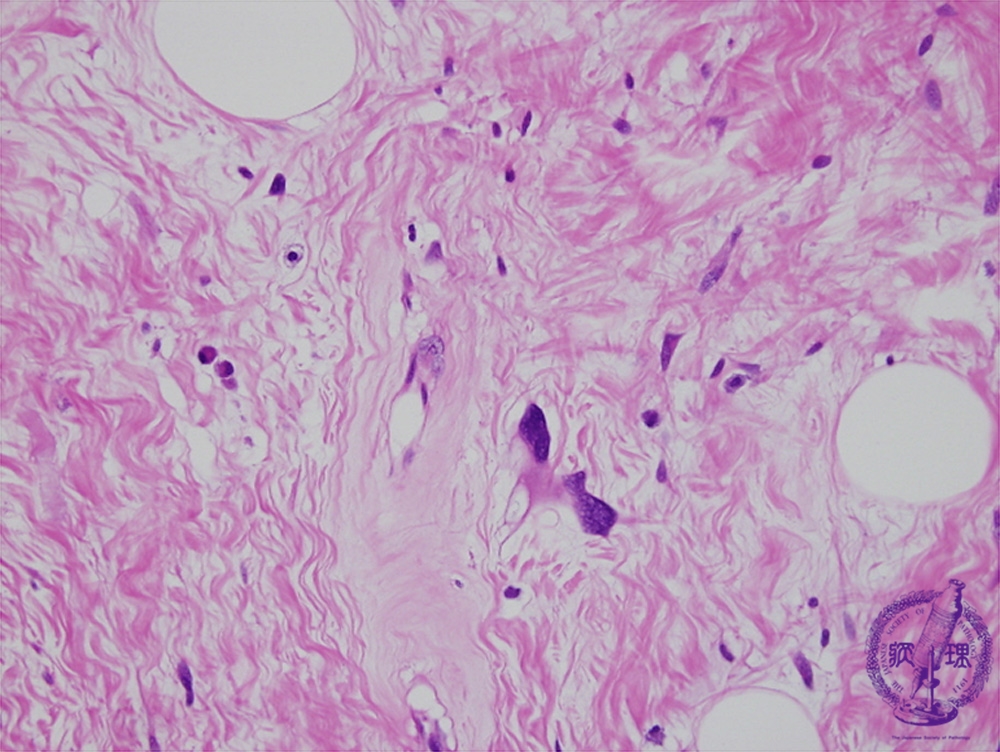
Microscopic findings (H.E. high power view): Hyperchromatic tumor cells with atypical nuclei scattered in the collagenous tissue.

Click the image to see the enlarged image.

  • There is no guidance by arrows.