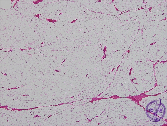
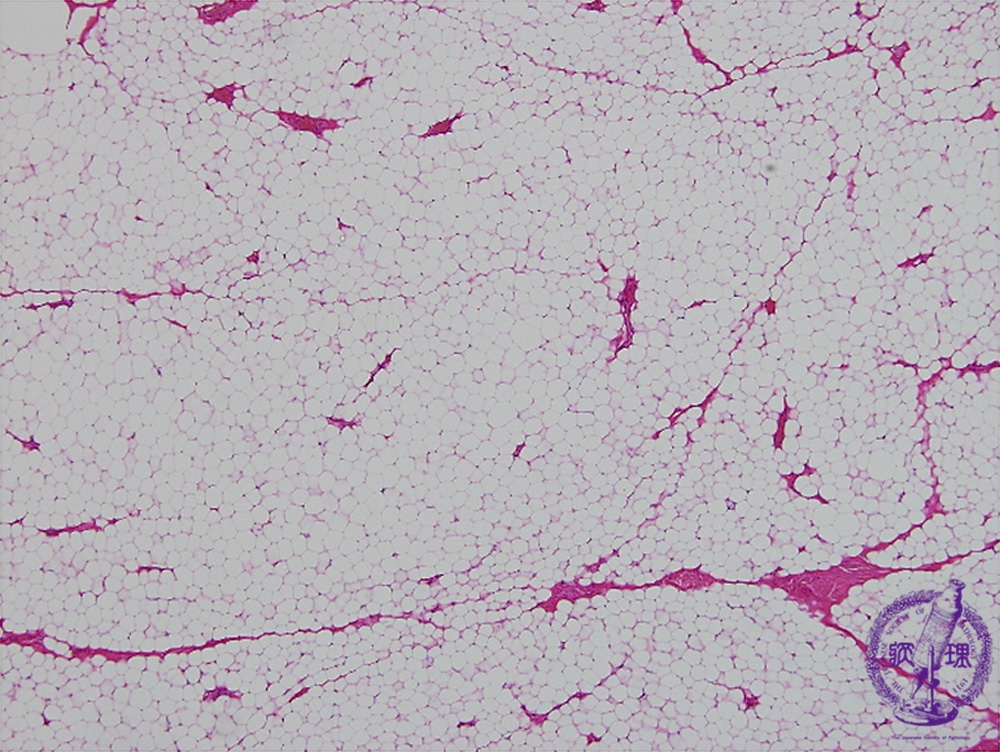
Microscopic findings (H.E. low power view): Lipoma composed of mature adipose tissue, indistinguishable from normal adipose tissue with light microscopy.

Click the image to see the enlarged image.

  • There is no guidance by arrows.