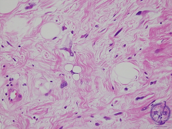
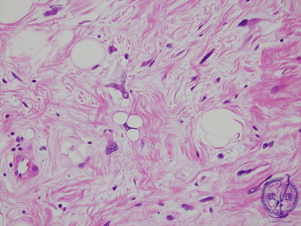
Microscopic findings (H.E. high power view): Tumor cells differentiated to adipocytes with fat droplets.

Click the image to see the enlarged image.

  • There is no guidance by arrows.