- 17.Nervous system
- (8)Glioma(Astrocytoma)
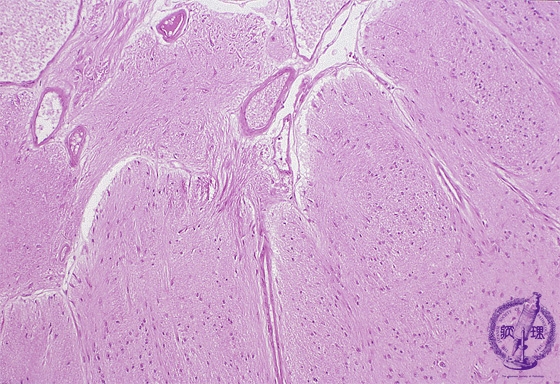
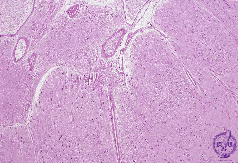
Microscopic findings (H.E. low magnification): Fibrillary astrocytoma demonstrated a diffuse proliferation of tumor cells with small oval nuclei and fine neurites. Nuclear polymorphism was not prominent. Tumor cells invaded the subarachnoidal space in left upper of the figure.
Click the image to see the enlarged image.


















