- 17.Nervous system
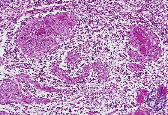
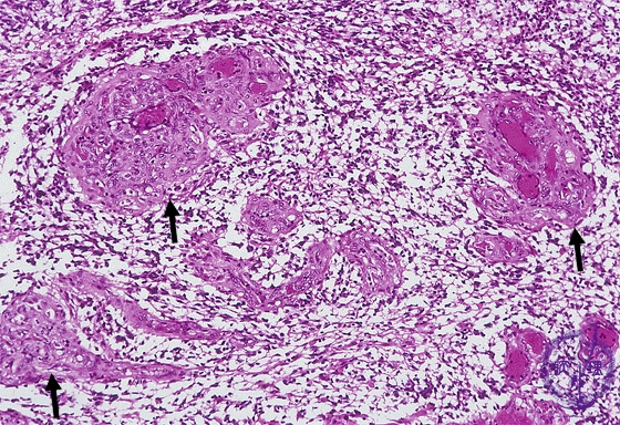
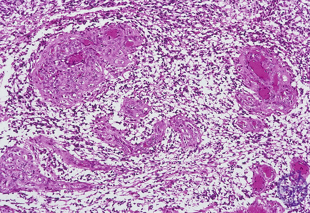
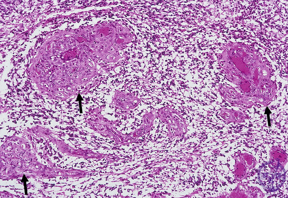
- ★(8)Glioma(Glioblastoma)
Microscopic findings (H.E. middle magnification): There were increased number of vessels with anintravascular proliferation of endothelial cells and thickening of the vascular wall (arrows). Sometimes, several vascular lumina were detected in a single vessel, also termed ‘glomeruloid structure’.
Click the image to see the enlarged image.





















