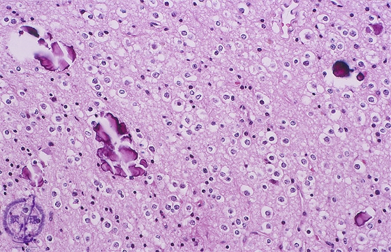
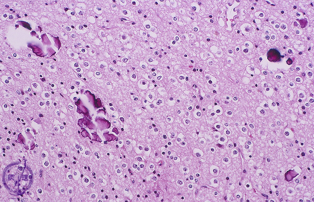
Microscopic findings (H.E. low magnification): Oligodendroglioma demonstrated a diffuse proliferation of tumor cells with perinuclear halo and forms honey-comb like structures. Many calcified foci were also identified.

Click the image to see the enlarged image.

  • There is no guidance by arrows.