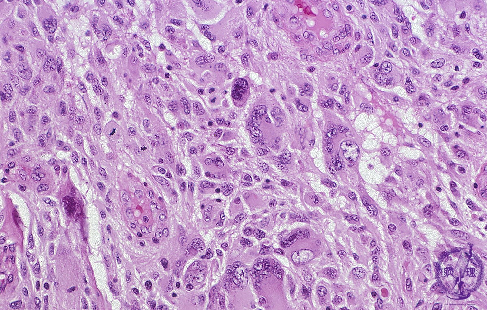
Microscopic findings (H.E. high magnification): Tumor cells were markedly pleomorphic including numerous multinucleated cells and giant cells. Tumor cells had weakly eosinophilc and ground glass-like cytoplasms, similar to astrocytes.

Click the image to see the enlarged image.

  • There is no guidance by arrows.