- 17.Nervous system
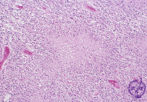
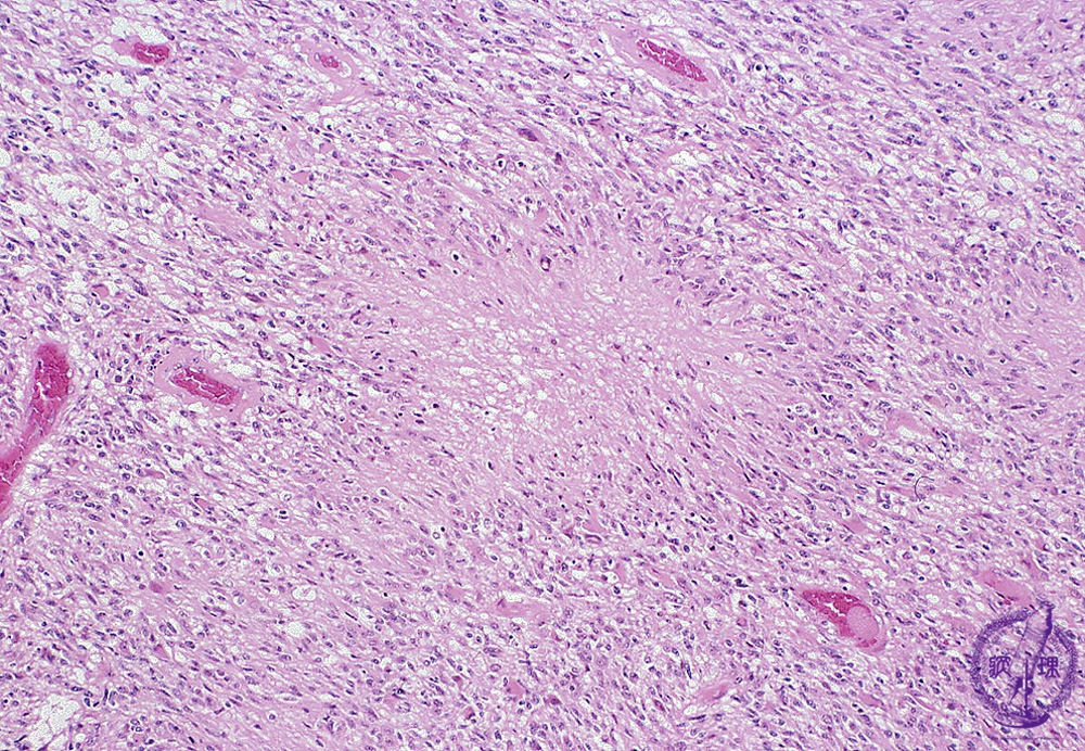
- ★(8)Glioma(Glioblastoma)
Microscopic findings (H.E. middle magnification): Central coagulation necrosis (red circle) surrounded by palisading assignment of tumor cells (arrows) had characteristic histological findings of glioblastoma, namely ‘palisading necrosis’.
Click the image to see the enlarged image.





















