- 17.Nervous system
- (8)Glioma(Astrocytoma)
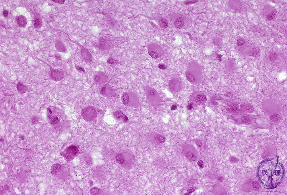
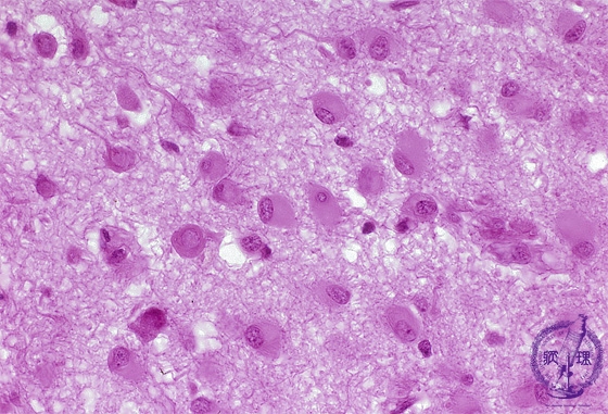
Microscopic findings (H.E. high magnification): Gemistocytic astrocytoma demonstrated a proliferation of astrocyte-like tumor cells with eccentric rounded nuclei and eosinophilic ground-glass like large cytoplasms. Some tumor cells demonstrated elongation of thick neurites.
Click the image to see the enlarged image.


















