- 17.Nervous system
- (8)Glioma(Astrocytoma)
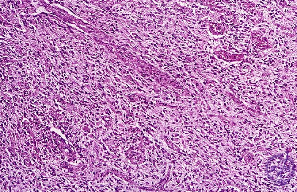
Microscopic findings (H.E. low magnification): Anaplastic astrocytoma showed an increased number of atypical cells with frequent mitoses, but necrosis was not found. Anaplastic astrocytoma has an intermediate malignant potential between astrocytoma and glioblastoma described below.
Click the image to see the enlarged image.


















