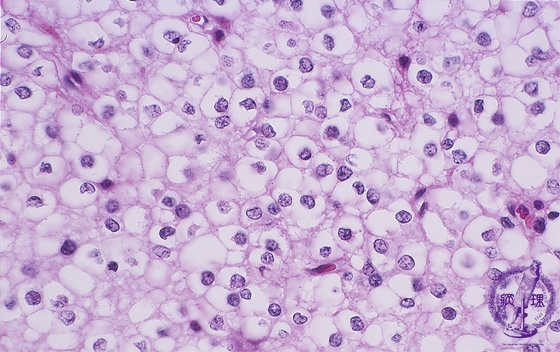
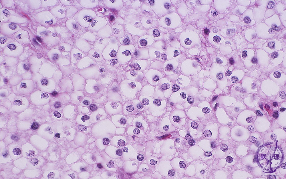
Microscopic findings (H.E. high magnification): Tumor cells showed perinuclear halo, and neurites were not distinct. The nuclei of tumor cells were small, compact and round.

Click the image to see the enlarged image.

  • There is no guidance by arrows.