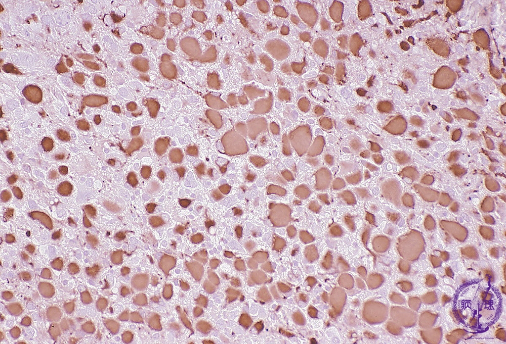
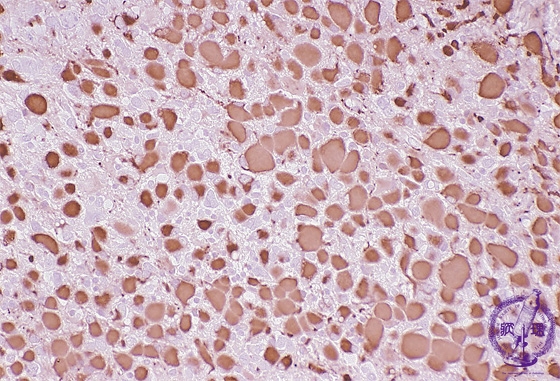
Microscopic findings (GFAP immunostaining): Immunohistochemically, the cytoplasms and neurites of gemistocytic astrocytoma cells were positive for glial fibrillary acidic protein (GFAP).

Click the image to see the enlarged image.

  • There is no guidance by arrows.