- 7.Oral, Salivary gland
- (7)Salivary gland tumor(★pleomorphic adenoma)
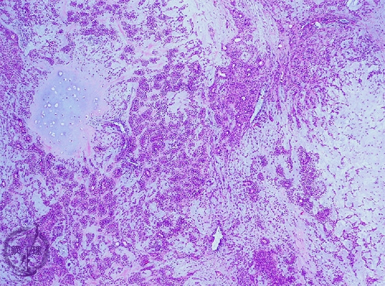
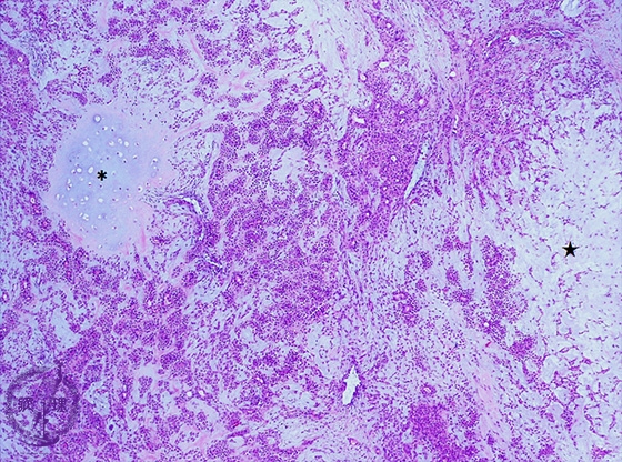
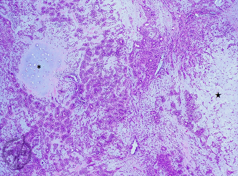
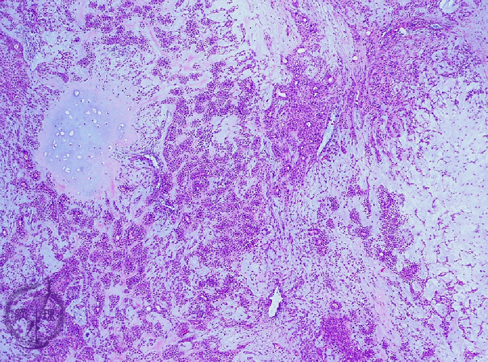
Microscopic finding (HE stain, low-power view):Pleomorphic adenoma shows divergent morphological features. There are tubular and trabecular structures composed of epithelial cells with an intermingled myxomatous (★) and chondroid stroma (*).
Click the image to see the enlarged image.























