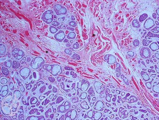
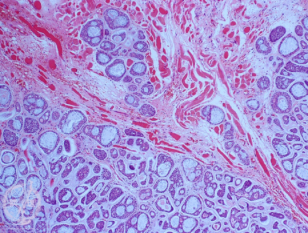
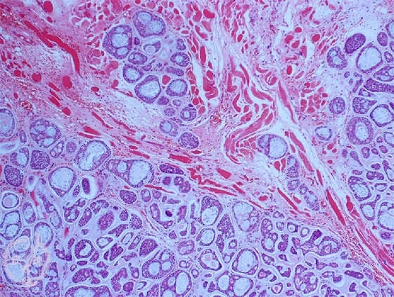
- 7.Oral, Salivary gland
- (7)Salivary gland tumor(★adenoid cystic carcinoma)
Microscopic finding (HE stain, low-power view):Cribriform and tubular nests infiltrate into the muscle (*).
Click the image to see the enlarged image.
Microscopic finding (HE stain, low-power view):Cribriform and tubular nests infiltrate into the muscle (*).
Click the image to see the enlarged image.