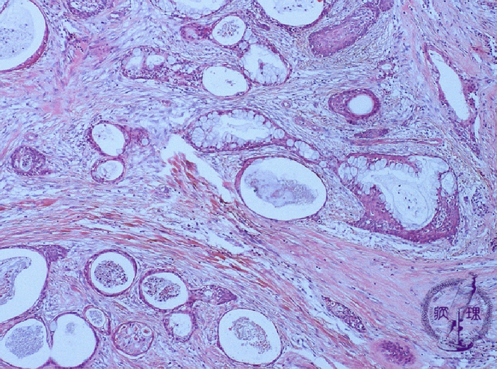
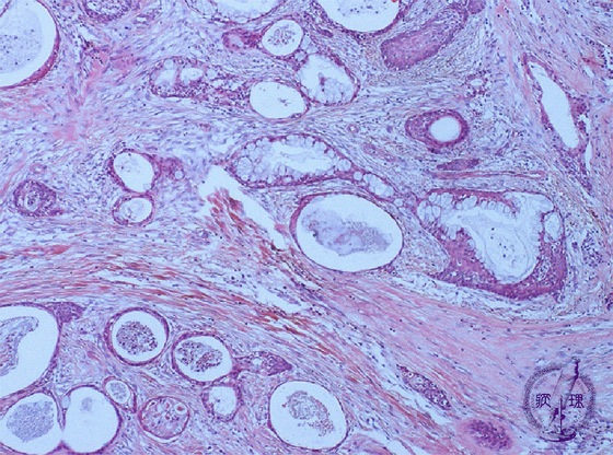
Microscopic finding (HE stain, low-power view):The tumor cells form abundant glandular or cystic nests (well differentiated).

Click the image to see the enlarged image.

  • There is no guidance by arrows.