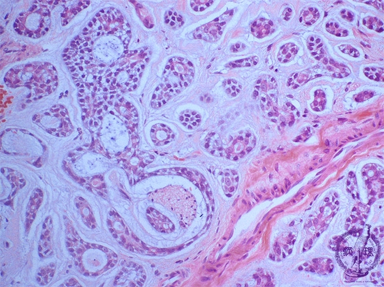
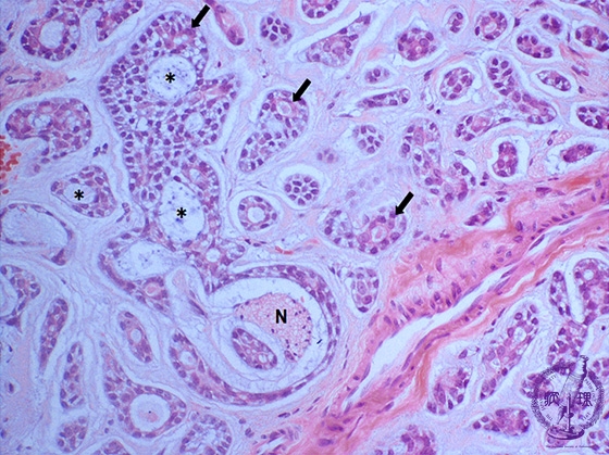
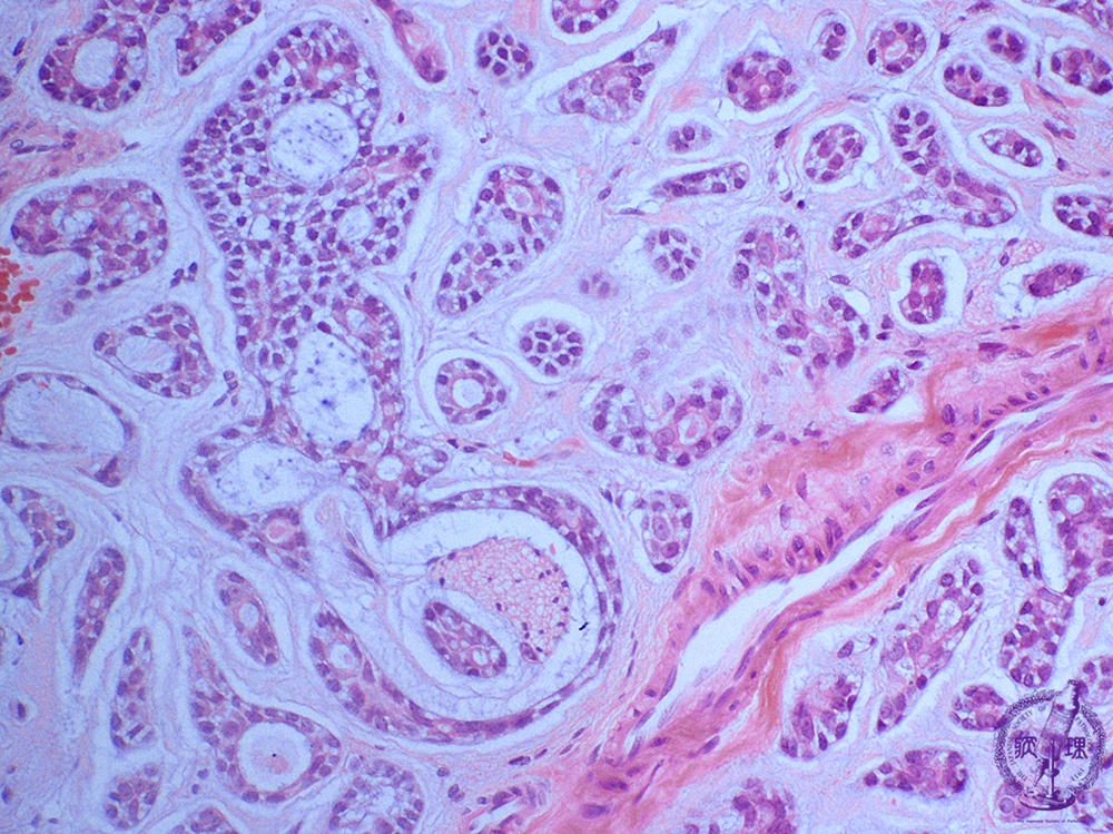
- 7.Oral, Salivary gland
- (7)Salivary gland tumor(★adenoid cystic carcinoma)
Microscopic finding (HE stain, high-power view):There are two kinds of cavities in the cribriform nests, true lumens (arrows) and pseudocysts (*). The true lumens and pseudocysts are lined by eosinophilic glandular cells and neoplastic myoepithelial cells/basaloid cells with scant cytoplasm, respectively. Perineural invasion (N) is observed.
Click the image to see the enlarged image.























