- 7.Oral, Salivary gland
- (7)Salivary gland tumor(★Warthin tumor)
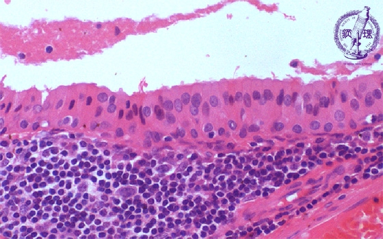
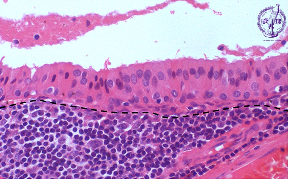
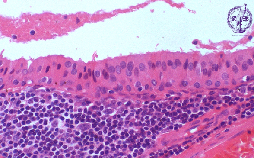
Microscopic finding (HE stain, high-power view):The tumor cells lining the cyst are oncocytic due to cytoplasmic eosinophilic granules. These cells have a dual-layered arrangement with inner tall columnar cells and outer cuboidal cells. The stroma (area below the dotted line) is composed of lymphoid tissue.
Click the image to see the enlarged image.























