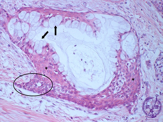
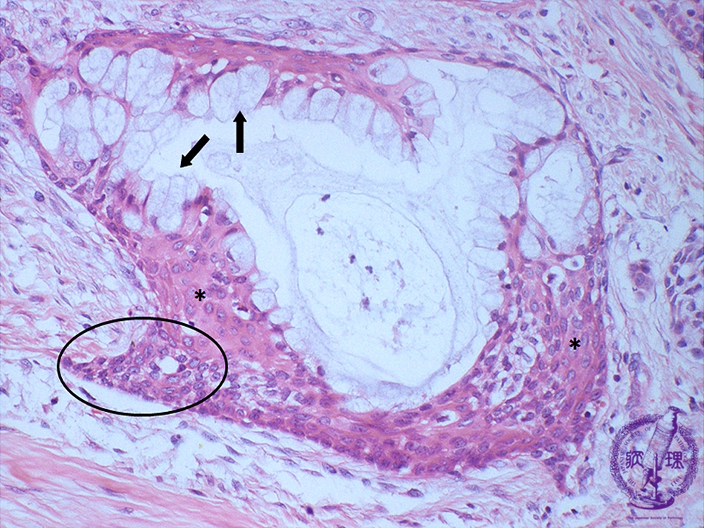
- 7.Oral, Salivary gland
- (7)Salivary gland tumor(★mucoepidermoid carcinoma)
Microscopic finding (HE stain, high-power view):The tumor nests consist predominantly of mucus producing (arrows) and epidermal (*) cells. Cellular atypia and mitotic figures are inconspicuous. A small number of compact and less differentiated intermediate cells (within the circle) are also observed.
Click the image to see the enlarged image.























