- 7.Oral, Salivary gland
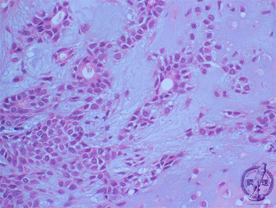
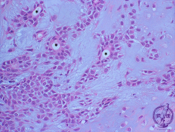
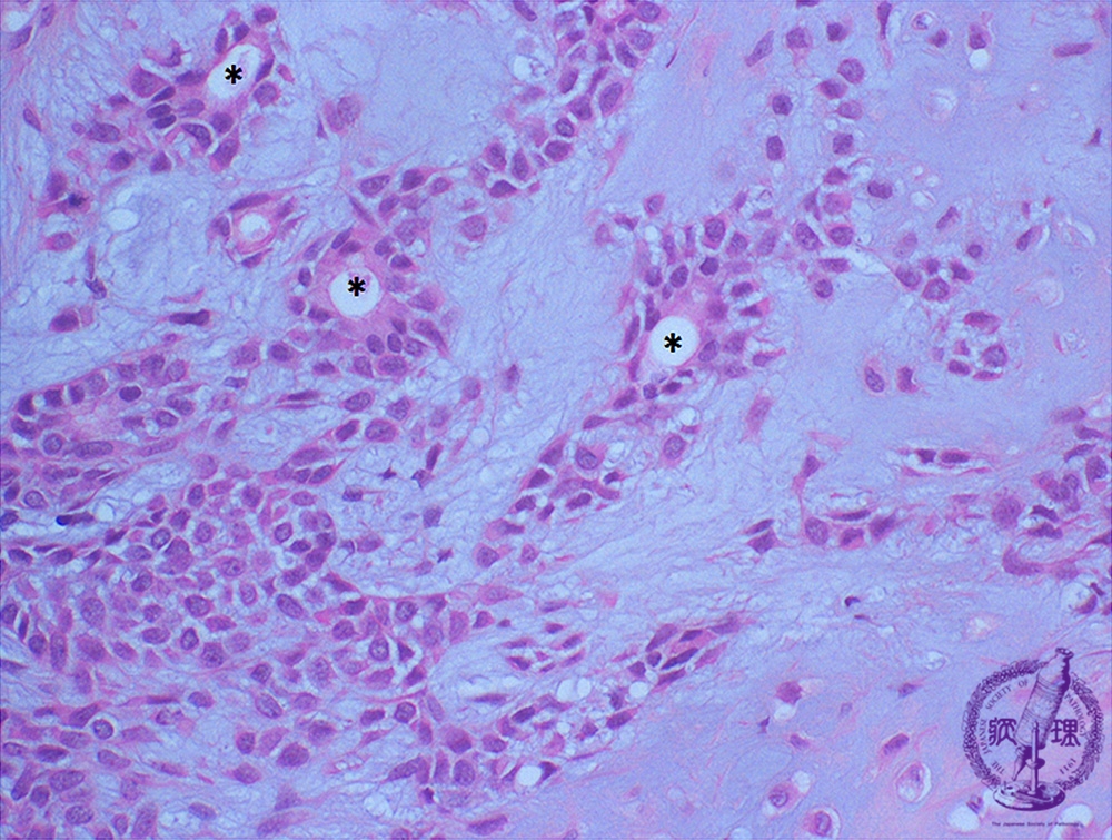
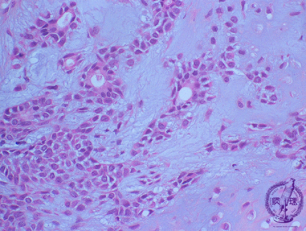
- (7)Salivary gland tumor(★pleomorphic adenoma)
Microscopic finding (HE stain, high-power view):The lumen (*) is lined by glandular epithelial cells, below which are neoplastic myoepithelial cells and a transition to widened intercellular spaces containing mxyoid and chondroid matrices.
Click the image to see the enlarged image.























