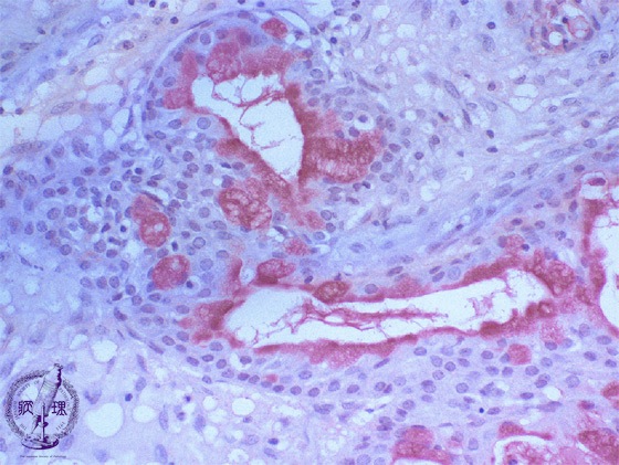
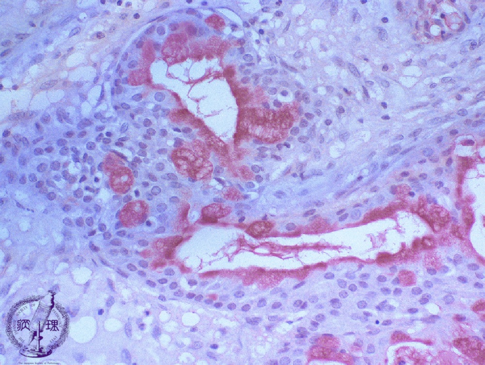
Microscopic finding (Mucicarmine stain, high-power view):Mucus producing cells and lumenal contents are stained red by mucicarmine stain (stain for epithelial mucin).

Click the image to see the enlarged image.

  • There is no guidance by arrows.