- 7.Oral, Salivary gland
- (7)Salivary gland tumor(acinar cell carcinoma)
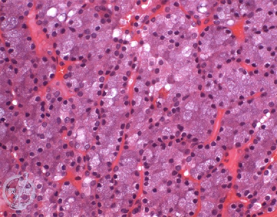
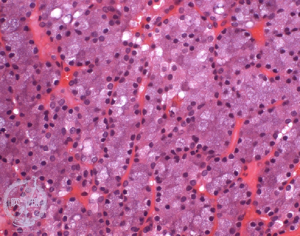
Microscopic finding (HE stain, intermediate-power view):The tumor cells with basophilic granular cytoplasm resembling normal serous acinar cells, proliferate in solid and trabecular growth patterns. The nuclei are basilar (close to the stroma). Cellular atypia and mitoses are infrequent.
Click the image to see the enlarged image.




















