- 7.Oral, Salivary gland
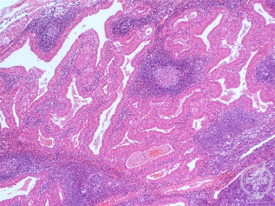
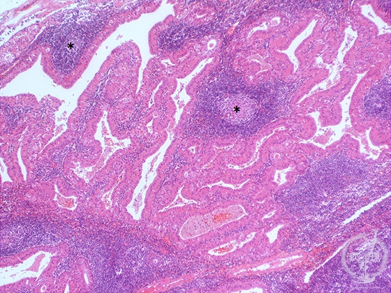
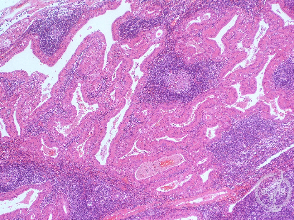
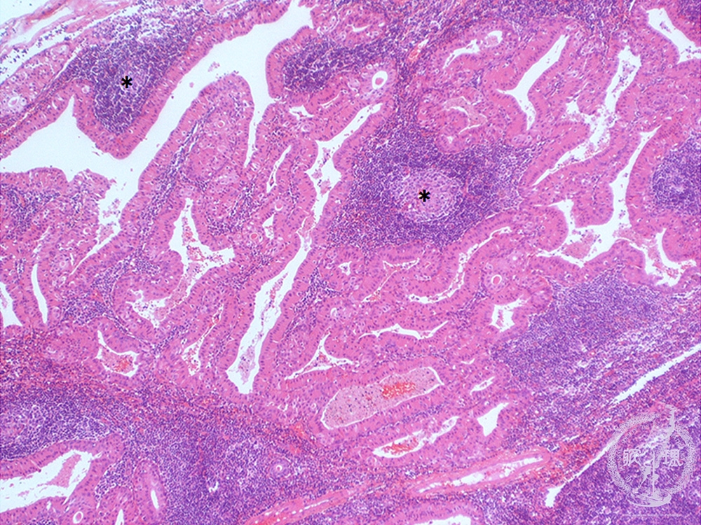
- (7)Salivary gland tumor(★Warthin tumor)
Microscopic finding (HE stain, low-power view):The eosinophilic tumor cells lining the cystic spaces form papillary processes which protrude into the cysts. The stroma includes lymphoid tissue with follicle formation (*).
Click the image to see the enlarged image.























